Invisalign

Invisalign is a new system of straightening teeth without the use of conventional braces. A series of clear plastic aligners are utilized to create tooth movement. Moving teeth with removable aligners is not new. However, the computer program, which can generate a series of aligners with small changes is the new part. Invisalign is recommended for orthodontic situations with mild to moderate spacing or crowding. They are virtually undetectable, easy to use and comfortable to wear.

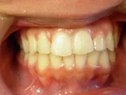
Before

After


Before

After


*Actual patients treated by Dr. Navi

Contact Us

Send Us an Email

Our Location

Find us on the map

Hours of Operation

Our Regular Schedule

Monday:

9:00 am-6:00 pm

Tuesday:

9:00 am-6:00 pm

Wednesday:

9:00 am-2:00 pm

Thursday:

9:00 am-7:00 pm

Friday:

Closed

Saturday:

9:00 am-2:00 pm

Sunday:

Closed