Teeth Whitening

Keeping our teeth their whitest is a lot harder than it sounds. With all the coffee, wine, smoking and other foods that have the ability to stain our teeth on a daily basis, even proper maintenance sometimes leaves them a little lackluster. Teeth whitening is an excellent way to restore the natural color of your teeth or even make them whiter than your natural color if you would like.

To accomplish the whitening of your teeth, we utilize a product called ZOOM!. ZOOM! is a chairside whitening procedure that uses a safe whitening gel and a low intensity light to activate the gel. This combination allows us to provide you with teeth that are 6-10 shades whiter in about an hour!

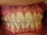
Before

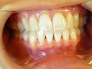
After


*Actual patients treated by Dr. Navi

Contact Us

Send Us an Email

Our Location

Find us on the map

Hours of Operation

Our Regular Schedule

Monday:

9:00 am-6:00 pm

Tuesday:

9:00 am-6:00 pm

Wednesday:

9:00 am-2:00 pm

Thursday:

9:00 am-7:00 pm

Friday:

Closed

Saturday:

9:00 am-2:00 pm

Sunday:

Closed